浆细胞龈炎伴慢性牙周炎1例
Mery-1 2021-05-26 14:56:17

  室:口腔科病例 牙周科病例

关键疾病:牙周炎

            

【一般资料】

女,17岁

            

【既往史】

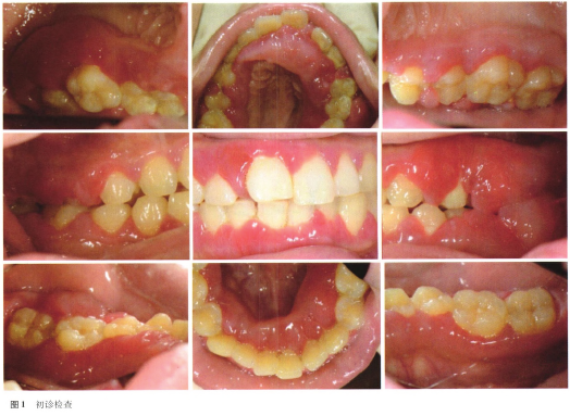
因全口牙龈增生10年就诊于我科,自诉10年来牙龈从右侧开始肿胀,逐步累及全口牙龈,肿胀逐渐变大,触压疼痛,影响咀嚼及言语,刷牙出血明显,无牙周系统治疗史。

图1.png


【体格检查】

口腔卫生状况差,大量软垢、牙石+++,全口牙龈色暗红、肿大,累及附着龈,牙龈质地松软,伴有龈裂,部分牙位的牙龈呈球状增生,盖过牙合面,触之易出血。

牙周探诊深度4~10mm,出血指数为4,可探及附着丧失,未及牙松动。13和23前突,腭盖高拱,语音不够清晰,上前牙散在间隙。

全身情况:健康,喜饮各种饮料。

全口根尖片见图2,全口广泛性牙槽骨硬板消失,伴有牙槽骨吸收。血常规检查正常,镜检血细胞形态正常。

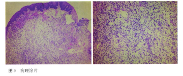
行切取活检,病理检查结果见图3,软组织炎症、水肿明显,可见结缔组织内有密集浸润的炎症细胞,以正常形态的浆细胞为主,呈片状或呈灶性聚集,伴少量的淋巴细胞,周围可见增生、扩张、充血的毛细血管及成纤维细胞。

       
   

【初步诊断】

因有病理检查为依据,浆细胞龈炎的诊断成立,但浆细胞龈炎一般不伴有牙周炎,该病例因长期牙龈增生有龈袋,继发慢性牙周炎,故该病人应诊断为浆细胞龈炎伴慢性牙周炎。 

       
   

【治疗】

行牙周基础治疗,包括口腔卫生宣教,洁治、刮治和根面平整,让患者避免接触可能的过敏源,如中草药牙膏、口香糖、各种食品添加剂、化妆品等,肿胀缓解不明显。


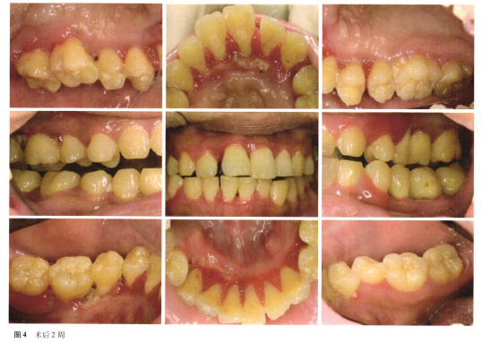
计划进人牙周手术阶段。等离子刀切除上、下颌颊舌侧增生牙龈组织,暴露牙列唇舌面,修整牙龈外形,牙周塞治剂覆盖创面。术后2周牙龈形态基本正常,如图4。

图4.png

197 1 2 1.02

全部评论(1)

想发表一点看法咩,与Ta简信交流吧~

病例分类

×

选择打赏金额:

¥1 ¥5 ¥10 ¥20 ¥50 ¥100

其他金额:

选择支付方式 ×
  • 支付宝支付
  • 微信支付
确定