儿童恒牙根管治疗中出现皮下气肿一例
liyuan 2019-07-19 09:47:51


作  者:renougjaion

科  室:口腔科病例 牙体牙髓科病例


【一般资料】

患者男性,10岁

 

【主诉】

因“右下后牙冷刺激敏感2d”就诊。

 

【辅助检查】

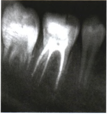
临床检查可见右下第一恒磨牙远中牙合面深大龋洞(见图1),可探及露髓孔,叩痛(±),患牙无松动,牙龈无异常,牙髓冷测试敏感。根尖x线片示根尖孔闭合,根尖周未见低密度影及根周膜增宽,未见根尖弯曲。

图1.png


【初步诊断】

右下第一恒磨牙“慢性牙髓炎”。


【治疗经过】

根管治疗及预成冠修复。

局部浸润麻醉后上橡皮障,去除腐质,冠髓不成形,揭髓室顶,探及近颊、近舌、远颊、远舌4个根管口。根髓基本成形,牙髓活力温度测试冷测结果为敏感,配合乙二胺四乙酸及2%氯亚明荡洗下根管扩大,近颊、近舌及远颊根管测量工作长度为17mm,用逐步后退法根管预备至40号锉(K锉,0.2锥度);远舌根尖区不通,反复以8一10号锉(C锉,0.2锥度)探查、通畅,根管测试仪显示工作长度为16.5mm,乙二胺四乙酸及2%氯亚明冲洗根管,用步退法根管预备至40号锉(K锉,0.2锥度)。

远舌根管预备后,患者诉右颌下区肿胀不适,患者面部不对称,右下颌角下缘可及捻发音(见图2)。

图2.png


随后进行锥形束CT检查发现患者右颌下区及颏下区软组织内出现局限性蜂窝状透影区(见图3);

图3.png


右下第一恒磨牙远中舌根根尖1/3向颊侧弯曲,角度较大(接近90°);弯曲处相应舌侧骨板缺如(见图4、5)。

图4-5.png


结合临床及影像学表现诊断为皮下气肿

患者除面颈部肿胀外无胸痛及憋气症状,患牙玻璃离子暂封(根管及髓腔内无封药)观察,口服阿莫西林0.5g/次,3次/d,治疗3d。1d后复查,肿胀轻度扩散至颈部中线,患者诉咽痛,无发热。

1周复查时肿胀消退。

1个月后以牙胶尖+糊剂对患牙进行根管充填,再次进行锥形束CT检查显示,根管弯曲相应舌侧骨板缺如处根充糊剂超出根管,说明此处根管侧穿。

图6.png


6个月复查时患者无不适,此时根尖x线片仍未观察到牙根的异常弯曲及穿孔,同时根尖周未见低密度影。

图7.png

55 1 3 0.01

全部评论(1)

想发表一点看法咩,与Ta简信交流吧~

病例分类

×

选择打赏金额:

¥1 ¥5 ¥10 ¥20 ¥50 ¥100

其他金额:

选择支付方式 ×
  • 支付宝支付
  • 微信支付
确定