前牙区数字化即刻种植即刻修复病例报道一例
mili 2019-07-10 14:29:35

【一般资料】

雷某,女,28岁


【主诉】

主诉“左上乳尖牙滞留18年”,1年前正畸后保持阶段,近日松动,前来寻求修复方案。


【体格检查】

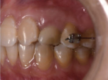
全口牙周情况良好,左上后牙正畸保持托槽固定,63滞留,松动(++),牙槽窝周围牙槽骨完整,


【辅助检查】

X线显示根尖周未见低密度影像,根尖区充足骨量;22先天缺失,23在22位置异位萌出,23与21邻接良好。

图片13-1.png

 

【治疗】

口腔卫生指导;CAD/CAM左上乳尖牙种植导板设计与个性化钛基台临时牙修复,手术后即刻戴牙,4个月后重新取模,全瓷修复。


方法:患者轻咬合状态进行CBCT(NewTomTM,Verona,Italy)扫描,扫描结果以DICOM(digitalimagingandcommunicationinmedicine)格式导出。CBCT显示:左上乳尖牙牙根周围牙槽骨吸收,可用骨高度约15mm,颊舌径宽约6mm。

图片13.png

 

口内扫描利用3shape扫描制作伴有咬合面记录的数字化诊断印模。采用非接触式光学口内印模技术,对邻牙及正畸配件无损伤。将CBCT数据以DICOM格式导入3shape软件,进行颌骨三维重建,根据颌骨的三维解剖结构和咬合关系,设计种植的位置、角度、数目及深度,在此设计方案上利用3shape软件设计种植导板及个性化基台和临时牙。


QQ图片20190708150955.jpg

图3 种植体的设计   

图4 制作个性化钛基台和临时冠

图5 导板设计过程

导板制作完毕送回临床医生手中。

 

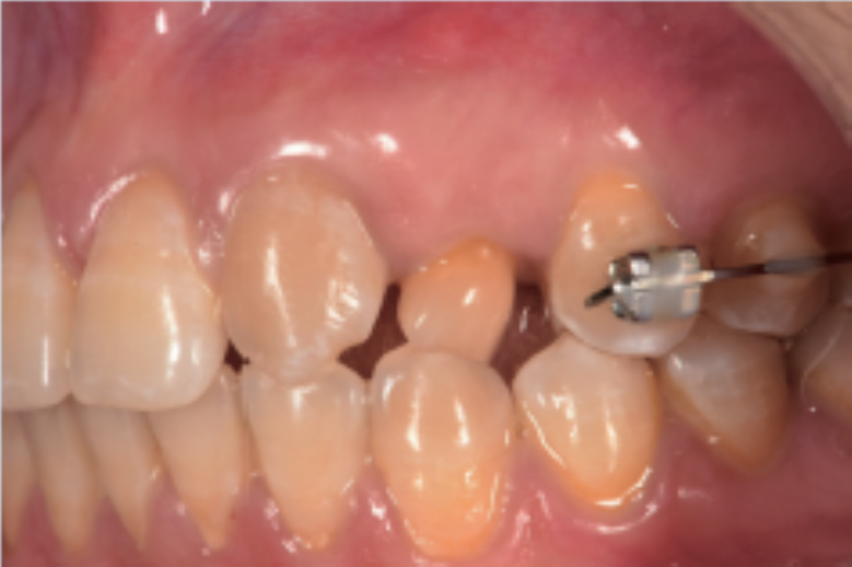
种植手术常规消毒、铺巾,局部浸润麻醉下,采用Luxator微创拔牙刀从患牙近远中腭侧切断牙周膜,牙钳拔出左上乳尖牙,注意保护唇侧骨板,搔刮窝洞,无菌生理盐水冲洗。

放置种植导板,待导板完全就位后,使用与导板配套的种植器械逐级预备种植窝洞,窝洞制备完成后植入种植体(Nobelactive3.5/11.5),植入扭矩(65N·cm),初期稳定性良好。

图片14.png

 

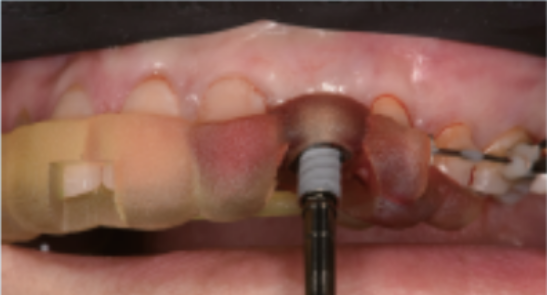
可以进行即刻修复,临时冠及基台就位,扭紧中央固位螺丝,扭矩(30N·cm)。最后封闭螺丝孔,检查咬合,应确保正中咬合、前伸咬合及侧方咬合均无接触。

图片15.png

 

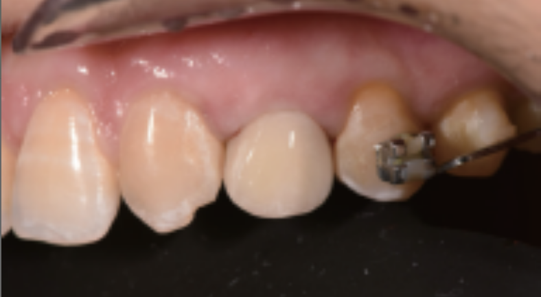
结果4个月后复诊,取出临时冠及个性化基台,袖口形态良好,牙龈塑形效果佳,重新开窗式个性化取模,更换全瓷基台,全瓷冠粘接修复,完成最终修复,患者满意。

图片16.png

 

病例来源:口腔疾病防治

121 0 6 5.00

全部评论(0)

想发表一点看法咩,与Ta简信交流吧~

病例分类

×

选择打赏金额:

¥1 ¥5 ¥10 ¥20 ¥50 ¥100

其他金额:

选择支付方式 ×
  • 支付宝支付
  • 微信支付
确定