伴大动脉炎的牙周炎一例
CoCo 2019-07-10 14:20:44

科    室:口腔科病例 牙周科病例

关键疾病:Crohn病


【一般资料】

患者为女性,23岁


【主诉】

2012年5月因“常感头晕”就诊于北京协和医院。


【体格检查】

血压170/110mmHg(1mmHg=0.133kPa),听诊有腹主动脉杂音,胸片检查未见确切异常。


【辅助检查】

血常规检查:CRP45.49mg/L,ESR45mm/h,均异常增高。动脉超声检查示升主动脉、头臂干、腹主动脉中段及左侧肾动脉等大动脉的血管壁明显增厚。

图1.jpg


【用药处方】

根据患者的发病年龄、听诊及动脉超声检查确诊为大动脉炎。

服用药物包括:醋酸泼尼松龙片(初始40mg/d,逐步递减为7.5mg/d后维持)、复方环磷酰胺片(隔日1次,每次100mg)、碳酸钙D3片、阿司匹林肠溶片以及苯磺硝苯地平片(5mg/d)。

9个月后(2013年2月)患者血压已控制在正常水平。初期大剂量激素的应用使患者ESR和CRP水平锐减到正常水平,之后出现明显反弹。

图2.jpg

2013年2月,患者因前牙区牙龈肿胀伴刷牙出血就诊于北京协和医院口腔科,行下前牙区牙龈组织活检,切片示上皮下炎症性的纤维组织增生,血涂片检查未见确切异常,行洗牙治疗后自觉牙龈肿胀缓解不明显,1个月后就诊于北京大学口腔医院牙周科,口内检查发现全口牙龈乳头普遍红肿增生,质地韧,上、下前牙区尤为明显。

图3.jpg


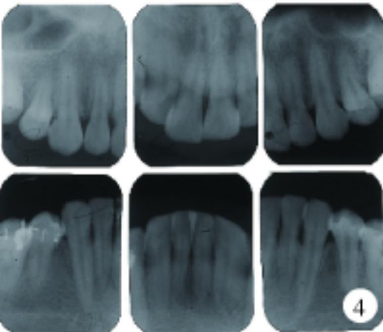
牙周探诊深度(probingdepth,PD)普遍4~7mm,中等量菌斑,探及大量龈下牙石,探诊出血74.0%。全口根尖片显示普遍的牙槽骨轻度吸收。

图4.jpg


否认相关家族史及烟酒嗜好。15岁有正畸治疗史。我院病理科镜检北京协和医院病理切片显示,下前牙牙龈组织切片符合药物性牙龈肥大的病理表现。

图5.jpg


根据患者的临床表现、口腔检查以及钙通道阻滞剂类高血压药物的服用史(苯磺硝苯地平),诊断为慢性牙周炎及药物性牙龈肥大。牙周治疗计划包括牙周基础治疗及必要时手术切除肥大的牙龈组织。患者每周1次,共5次完成基础治疗。在内科医生的建议下,每次牙周治疗前停服阿司匹林并预防性服用抗生素。基础治疗后6周复查时患者的牙龈色、形、质与口腔卫生情况都有了极大改善。

图6.jpg


牙周检查表显示治疗前后患者每颗牙的平均PD变化,探诊出血也由74.0%下降到33.3%。

图7.jpg

病例来源:北京大学学报(医学版)

203 2 10 0.02

全部评论(2)

想发表一点看法咩,与Ta简信交流吧~

病例分类

×

选择打赏金额:

¥1 ¥5 ¥10 ¥20 ¥50 ¥100

其他金额:

选择支付方式 ×
  • 支付宝支付
  • 微信支付
确定